新加坡甲流大爆发!感染后会引发白肺、或更容易复阳,新加坡留学生如何防护?附防护指南
作者:王尔来源:专业时间:2025-08-25 17:52次
摘要:最近新加坡发生了甲流的大爆发,今天出国留学小编就给大家介绍新加坡甲流大爆发!感染后会引发白肺、或更容易复阳,新加坡留学生如何防护?附防护指南,如果对这个话题感兴趣的话,欢迎点击出国留学网。 新加坡甲流大爆发!感染后会引发白肺、或更容易
最近新加坡发生了甲流的大爆发,今天出国留学小编就给大家介绍新加坡甲流大爆发!感染后会引发白肺、或更容易复阳,新加坡留学生如何防护?附防护指南,如果对这个话题感兴趣的话,欢迎点击出国留学网。
新加坡甲流大爆发!感染后会引发白肺、或更容易复阳
最近,在被提到最多的词,那就是“甲流”了。它以强大的破坏力,广泛的流行性,力压“新冠”,制造了一轮现象级话题。
比如停课!据全国多地消息,2月以来,各学校都出现了因为学生感染甲流而停课的现象。

再比如奥司他韦,这个念起来有点拗口的药品,也因为甲流的超级带货能力一跃成为家庭囤药新晋网红,在全国多地药店断货了!

力压新冠甲流发病率位居第一
有很多人都有一种感觉,自从新冠一波感染高峰过去后,甲流似乎已经超过新冠,成为当前需要重点提防的病毒了。
大家的感觉并没有错。根据疾控中心疫情情况通报,从哨点医院的监测情况看,近3周流感病毒阳性率呈上升趋势,2024年第8周为25.1%,而新冠病毒阳性率则为5.1%。

在此次流行的流感病毒中,甲型流感病毒占比高达99%。经过检测,其中A(H1N1)pdm09为主、A(H3N2)亚型流感病毒共同流行。这就意味着,目前有两种甲型流感病毒亚型在我国传播。
摘掉口罩后新加坡流感肆虐
一家五口全中招 症状比新冠还严重
在新加坡,取消口罩令后,感染流感的人一下就多了起来,其中不少人都是全家“中招”,咳嗽、发热、嗓子疼,比新冠还严重。

有网友反映,家中小朋友突然低烧。在美林、panadol轮番上阵的情况下,第三天依然烧到了39.3后,家长带孩子去KK检查。
到医院后发现,半夜的KK竟然门庭若市。很多前来看病的小朋友基本上都是这个症状,候诊室里一片哭声……

这还不算完,随后全家五口都没逃过,其中其中一个孩子手口足还没好又感染了流感,简直是悲惨。

至于学校里面,历来是流感的高发地,这次自然也没被落下
就连公交车上都是此起彼伏吸鼻子和咳嗽声,吓得万事通赶紧压紧了自己的小口罩。
曾被认为将引爆下一次全球大流行
每年或导致65万人死亡
很多人不明白,不就是感冒发烧吗,在医疗技术如此发达的今天,为何一个区区流感就能够致人死命呢?
还记得2018年的那场流感吗?当时,一篇《流感下的北京中年》刷屏朋友圈。在这篇文章里,作者的岳父从患上流感到死亡,只有短短的29天。也是从那时候起,很多人才第一次知道,原来感冒也是会死人的。

甲流导致多地医院人满为患
历史上,1918年的全球大流感造成的死亡人数高达5000万-1亿,占到了当时人类总数的5%左右。
在新冠疫情以前,很多科学家一度认为,引爆下一次全球大流行的主角非流感莫属。
根据世界卫生组织的预测,全球每年平均有1/3的儿童和1/10的成人会感染流感,全球每年流感的季节性流行可导致约29万至65万死亡。
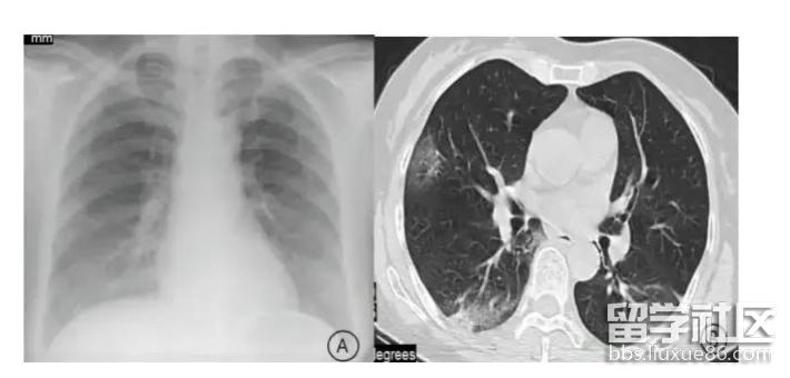
甲流将导致重度肺炎
四类人群易出现“白肺”问题
此次肆虐的甲流病毒,曾在2009年引发了26%的重症病死率,其中孕妇死亡率达40%!
在呼吸科医生看来,流感致死的一个重要原因就是,它侵蚀肺部导致重度肺炎从而让患者缺氧而死。所以,这也是此次甲流患者中出现“白肺”的原因。

目前已有的病例统计中,老年人、儿童、孕妇和有基础疾病的人群均是“白肺”的高发人群。
从网友们的描述来看,甲流患者多出现了咳嗽、咽喉痛、高热等症状,同时伴有头痛、肌肉酸疼等全身不适。但看这些症状,与新冠症状并无不同之处。那么,又该如何判断自己是得了甲流还是新冠呢?
最靠谱的办法当然是用专门的试纸测一下,但如果手边没有试纸,也可以按照下面图表里的描述自行判断。

流感叠加新冠几率为33%
感染流感后更易感染新冠
当前,新冠疫情并未消失,有人担心会不会遭遇甲流和新冠的双重夹击。
事实告诉你,这是可能的!

最近一项发表在《病毒学》杂志上的研究,也证实了,流感和新冠有合并感染的概率。

在2021年,美国研究机构根据密苏里州流感流行季节的统计,发现新冠病毒合并流感病毒的发生率是 33% 。
其中,新冠病毒德尔塔毒株合并流感病毒感染的概率是 44%,奥密克戎毒株合并流感病毒感染的概率是 27% 。
印度尼西亚的研究结果略有不同,甲流与新冠病毒共同感染的发生率降到了25%。
而且,感染流感后更容易感染新冠!
武汉大学的研究发现,新冠病毒进入肺泡细胞后,将导致肺泡受损,而感染流感后的细胞通过一系列反应表达,打开了新冠病毒侵入肺泡细胞的大门。
不过,专家也说了,大家经过一次新冠感染后,体内已经产生了免疫力。即便同时感染新冠和流感,也不一定就会出现危重症。因此大家也不用过分担心这一问题。
但不管如何,继续做好防护是没错的!
吴尊友表示流感仍将持续数周或于3月下旬进入尾声
吴尊友最近专门发微博提到了流感疫情。他认为,流感还将持续数周。
过去三年的新冠防控措施,在降低新冠感染率的同时,也预防了流感的传播流行,客观上降低了人们的免疫力。这就为如今流感的流行提供了有利条件。
那么流感什么时候能结束呢?
有专家判断在3月下旬,本轮流感将进入尾声。
因为甲流每年多在冬春交替时期流行,在北方是11-12月,在南方是4-5月,中间也有可能有一些小高峰如6-8月。鉴于这次已经流行了2周多的时间,预计将于3月下旬进入尾声。
总结
总而言之,只要口罩戴得牢,防护做的好,甲流和新冠都统统都追不上.....
新加坡留学生如何防护
一、了解甲流病毒
甲流病毒是一种H1N1病毒,它的传播途径主要是通过空气传播。当感染者咳嗽或打喷嚏时,病毒会随着飞沫在空气中传播,其他人吸入这些飞沫时,就有可能感染病毒。此外,甲流病毒还可以通过接触传播,例如通过触摸感染者的口鼻或污染物品而感染病毒。
二、加强个人卫生习惯
加强个人卫生习惯是预防甲流的基本方法之一。以下是一些建议:
1.勤洗手。经常洗手可以有效地预防甲流病毒的传播。特别是在接触过公共场所、交通工具、动物或感染者后,一定要及时用肥皂和流动水洗手。如果没有条件,可以用酒精消毒液代替。
2.勤换洗衣物。甲流病毒可以在衣服、被子等物品表面存活一段时间,因此要定期换洗衣物,尤其是口罩和手帕等直接接触口鼻的物品。
3.勤通风换气。通风可以有效地降低空气中病毒的浓度。在室内可以开窗通风,或者使用空气净化器来净化空气。
4.避免接触感染者。如果身边有感染甲流的人,请尽量避免接触他们。如果必须接触,一定要戴上口罩。
关于“甲流”的全科普:一图了解如何防护

关键词:新加坡,甲流,大,爆发,感染,后,会引,发白,肺,
- 相关文章
- 重磅!哥伦比亚大学申请发生变化:宣布永久“08-25
- 德国各州薪资排行:打算转行?德国这些行业最08-25
- 北京中医药大学有哪些专业08-25
- 2025年USnews美国大学最佳教育学院排名情况分析08-25
- 阳泉技校地址08-25
- 2025年北京中医药大学招生简章08-25
- 佛罗里达大学美国排名第几?是什么时候成立的08-25
- USC大学商学院排名汇总,成立时间是什么时候?08-25
- 北京大兴二职2025招生简章08-25
- 卡内基梅隆大学商学院排名,附卡内基梅隆大学08-25
- 北京大兴区第一职业学校地址在哪里08-25
- 纽约大学金融工程专业排名怎么样?该专业的优08-25












